În această etapă a proiectului a fost realizată, analizată și testată o pulbere nanolipozomală stabilă în care a fost inclus amestecul sinergic de polifenoli din reziduuri de fructe de pădure și polizaharide din semințe de chia. Am testat două variante de încapsulare a amestecului sinergic de polifenoli și polizaharide: metoda microîncapsulării și metoda includerii în formulări lipozomale. Variantele obținute au fost caracterizate fizico-chimic și din punct de vedere al biocompatibilitătii in vitro pe linii celulare specifice. În urma analizelor efectuate, s-a selectat varianta includerii în lipozomi și utilizarea acestora în formula (compoziția) noului aliment funcțional, deoarece această variantă a prezentat un grad mai mare de stabilitate în timp.


In etapa anterioara a proiectului am demonstrat ca amestecul sinergic de polifenoli si polizaharide extrase din reziduurile de fructe de padure si din semintele de chia are activitate antioxidanta, activitate de inhibare a α-amilazei si efect citoprotector fata de radicalii liberi in vitro.
Obiectivul acestei activitati din etapa III a proiectului a fost de a verifica pastrarea acestor proprietati ale amestecului de polifenoli si polizaharide, inclus in nanoformulari stabile, dupa ce a fost introdus in compozitia batonului proteic.
Determinarile efectuate privind inhibarea α-amilazei au demonstrat ca produsul cu lipozomi prezinta o buna activitate de inhibitie a α-amilazei, reprezentand aproximativ 60% din activitatea totala de inhibitie a inhibitorului specific, in timp ce proba provenita din produsul fara lipozomi ajunge doar la 6.6% din activitatea totala de inhibitie.
Testul de determinare a efectului de inhibare a α-amilazei de catre amestecul de polifenoli si polizaharide din batonul hipoglucidic este un test de verificare a pastrarii efectelor sinergice ale acestor componente, elaborat in cadrul acestui proiect. Acesta este un test simplu, reproductibil si usor de implementat cu ajutorului kit-ului specific utilizat.
Determinarea efectului antioxidant in vitro față de H2O2 a fost realizata pe o linie de celule epiteliale intestinale umane (Caco-2), care au fost supuse stresului oxidativ in prezenta sau absenta extractului de baton hipoglucidic care contine adaos de amestec de polifenoli si polizaharide.
Rezultatele au arătat că toate probele testate (care proveneau in urma simularii digestiei gastrice si intestinale) au prezentat efect antioxidant față de H2O2. Cea mai mare activitate antioxidantă a avut-o proba post digestie intestinala care a indus o crestere a viabilitatii celulare cu 7% mai mare față de controlul netratat.

Fig.1 Efectul citoprotector al probelor împotriva a 100 μM H2O2
Testul de determinare a activitatii antioxidante in vitro a amestecului de polifonoli si polizaharide extras din produsul finit si supus digestiei simulate este unul dintre testele de verificare a pastrarii efectelor sinergice ale acestor componente, elaborat in cadrul acestui proiect.Conform planului de realizare a proiectului, in aceasta etapa s-au obtinut:
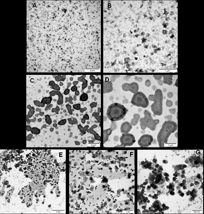
- Pulbere nanolipozomala stabila - nanoformularea amestecului sinergic de polifenoli si polizaharide sub forma de lipozomi care apoi sunt liofilizati constituie o biotehnologie optima de obtinere a unei compozitii stabile, cu o perioada lunga de conservare si care asigura avantajul prevenirii oxidarii nanostructurilor lipidice. Proba de nanoformulare a amestecului sinergic a fost analizata imediat dupa rehidratarea pastei liofilizate, si apoi la 10, 20 si 30 de zile de la preparare, in urma separarii nanostructurilor prin centrifugare si tratament cu Triton X-100 pentru eliberarea amestecului sinergic cu efect antioxidant. Rezultate determinarilor activitatii antioxidante indica un grad mare de stabilitate al nanoformularilor obtinute sub forma de pasta liofilizata, care se mentine la valori ridicate dupa perioade lungi de stocare.;
- Baton proteic – aliment funcțional - Prin combinatia sinergica a reziduului de fructe de padure (afin, merisor, catina, coacaze), care este un extract umed ce contine o parte din continutul de pulpa al acestor fructe, seminte si coji, cu samburi de caise, seminte de chia, alune, unt de cacao, masa de cacao, sirop de malt, miere de albine, ulei de cocos - se obtine un produs bogat in antioxidanti, cu actiuni hranitoare, vitaminizante si mineralizante. S-a stabilit procedeul de obținere al acestui produs, care presupune 11 etape. Procedeul este reproductibil si conduce la obtinerea unui produs / aliment functional stabil.;
- Teste de verificare a păstrării efectelor sinergice
- 1. Testul de determinare a efectului de inhibare a α-amilazei de catre amestecul de polifenoli si polizaharide din batonul hipoglucidic este un test de verificare a pastrarii efectelor sinergice ale acestor componente, elaborat in cadrul acestui proiect. Acesta este un test simplu, reproductibil si usor de implementat cu ajutorului kit-ului specific utilizat.
- 2. Testul de determinare a activitatii antioxidante in vitro a amestecului de polifonoli si polizaharide extras din produsul finit si supus digestiei simulate este unul dintre testele de verificare a pastrarii efectelor sinergice ale acestor componente, elaborat in cadrul proiectului. - Un plan de exploatare a rezultatelor obținute în cadrul proiectului.
Diseminarea rezultatelor pe scară largă
- Lucrare BDI acceptata
A. Oancea, O. Craciunescu, E. Mihai, T. Ciucan, V. Coroiu, S. Manoiu, E. Utoiu, A. M. Ghenea, M. Pirvu, Functional food based on a combination with emergent properties of polyphenols and polysaccharides for hypocaloric diet, 2022, Agriculture & Food, BDI - Lucrare ISI in evaluare
Mihai E, Craciunescu O, Iosageanu A, Seciu-Grama AM, Utoiu E, Ciucan T, Prelipcean AM, Coroiu V, Ghenea AM, Oancea A, 2022, Hypoglycemic, antioxidant and prebiotic potential of combined bioactive extracts of berries pomace and chia seeds and their digestion products for advance of functional food, Processes, Special Issue "Process Design, Analysis and Medicinal Importance of Nutraceuticals" - Comunicare prezentata la Simpozionul International “Priorities of Chemistry for a Sustainable Development” - PRIOCHEM XVII 2021 si publicata in 2022 in revista BDI:
Elena Mihai, Teodora Ciucan, Andreea Iosageanu, Viorica Coroiu, Ana-Maria Gheorghe, Ana Maria Ghenea, Stefania Adelina Milea, Anca Oancea, 2022, In vitro antioxidant activity determination of a microencapsulated synergic polyphenols—polysaccharide mixture, Chemistry Proceedings, 7, 31-32, doi: 10.3390/chemproc2022007031 (BDI). - Lucrari stiintifice communicate sub forma de poster
Oancea A, E. Mihai, T.C. Ciucan, V. Coroiu, V.S. Manoiu, E. Utoiu, A. M. Ghenea, M. Pirvu, O. Craciunescu, Functional food based on a combination of polyphenols and polysaccharides with emergent properties for hypocaloric diet, Agriculture & Food 10th International Conference, Burgas, Bulgaria, 16-19 August 2022 - Brevet OSIM
“ALIMENT FUNCȚIONAL UTILIZABIL CA ADJUVANT ÎN DIETA HIPOCALORICĂ ȘI PROCEDEU DE OBȚINERE” Autori: Oancea Anca Olguţa; Moldovan Lucia; Mihai Elena; Ciucan Teodora; Tatia Rodica; Coroiu Viorica; Ghenea Ana Maria; Pîrvu Mihaela RO135559 (A0) ― 2022-03-30

Strategia folosită pentru a disemina rezultatele atât către comunitatea științifică și persoanele interesate, cât și pentru a stimula transferul tehnologic.